Department of Radiodiagnosis
( Dr.G.Vishwanathan Institute Of Medical Sciences )
Pages
Home
About Us
Contact
Official Website
Thursday, 25 October 2012
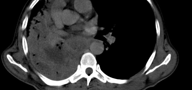
Necrotic Right Hilar mass
Necrotic right hilar mass lesion with invasion in to the right lower lobe bronchus causing complete collapse of right middle and lower lobe.
No comments:
Post a Comment
Newer Post
Older Post
Home
Subscribe to:
Post Comments (Atom)
No comments:
Post a Comment